
The SV-3 Pregnancy Scanner is a highly accurate and portable ultrasound device designed specifically for livestock pregnancy detection.
Ideal for use with pigs, sheep, goats, and other farm animals, the SV-3 provides fast, reliable results, helping farmers optimize breeding management.
Its lightweight, ergonomic design allows for easy handling during scans, while the clear display and intuitive interface make it simple to use, even in challenging farm environments. The scanner uses WiFi (no internet) connection with your device.
With the SV-3, farmers can detect pregnancies early, improve herd management, and enhance overall productivity on the farm.
Comes with a protective sleeve that can hang on your neck for ease of use in situ.
Sample of the app-screen
Requires a recommended (at least) 8″ tablet to view the scans on an app you can download on Apple and Android devices.
Can be also viewed on your phone but that’s a tiiiiiiny little screen.

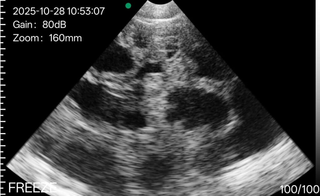
Sample of a sow pregnancy
This 28 day ultrasound image has been provided by the incredibly awesome Sean Molloy.
The triangular field of view shows the uterus filled with multiple dark, round to oval shapes. These darker areas are fluid-filled pockets that surround the developing fetuses. The lighter, speckled regions around and between them are uterine tissue and fetal structures.
The black or very dark areas represent amniotic fluid. The brighter white speckles inside or just around these dark areas are reflections from fetal bodies, placentas or membranes. Pregnant uterus will usually look busy or “structured” like this, not uniform or empty.

Not displayed above: if the black spot is very smooth around the edges this could be a sign for an ovarian cyst. Keep an eye out!